Clínica Dental Méndez Álvaro Madrid Ortodoncia Spark Invisalign


nuestra clínica dental en los medios
TeleMadrid nos visita
TeleMadrid nos visita
Tú decides
¿Brackets o Alineadores?
¿Brackets o Alineadores?

¿Qué nos diferencia?
¿Qué nos diferencia?

Experiencia
Somos una clínica dental de especialización de posgrados universitarios

Tecnología
Unimos experiencia y tecnología para garantizarte los mejores resultados

Precio
Gracias a nuestros acuerdos contamos con los mejores precios
nuestros pacientes opinan
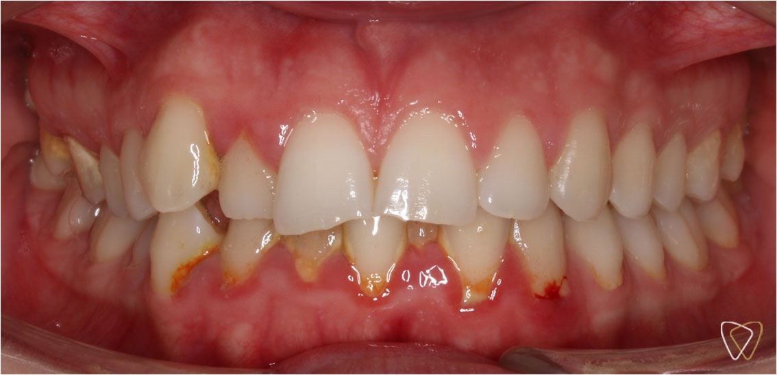
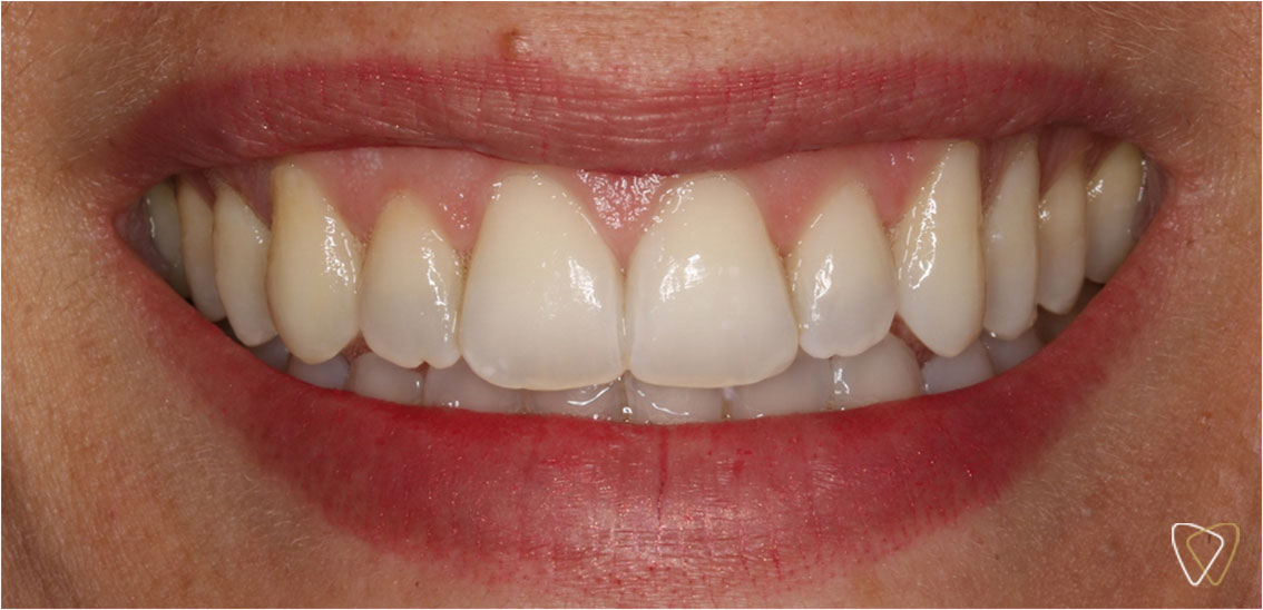
Ejemplos




¿Quieres saber más?
Ortodoncia Invisible
Ortodoncia Invisible
Tu sonrisa perfecta en 3 pasos
1.
Primera Visita Gratuita
En tu primera visita, nuestros ortodoncistas revisarán tu mordida junto con la salud y la estética de tus dientes, con la tecnología más innovadora.
2.
Vídeo simulación
El primer día, sin coste, te mostraremos una simulación del resultado final de tu tratamiento
3.
Financiación
Disponemos de financiación hasta 36 meses sin intereses!
precio final cerrado
Precio
35% descuento
Precio único. Para todos los tratamientos. Incluso casos complejos.
Mensualidad sin descuento: 139€
89€
mensualmente · 36 cuotas
total: 3.204€*
Precio sin descuento: 5.000€
2.990€
pago único*
ahorra un 10%


*El precio del tratamiento puede variar en función de la evaluación del ortodoncista. Precio del tratamiento de ortodoncia con alineadores. No incluye otros tratamientos de odontología, ni otros aparatos de ortodoncia ni intervenciones por parte otros profesionales. Para más información, consulta en nuestra clínica.




